Oasis Smiles Dental

Porcelain Veneers

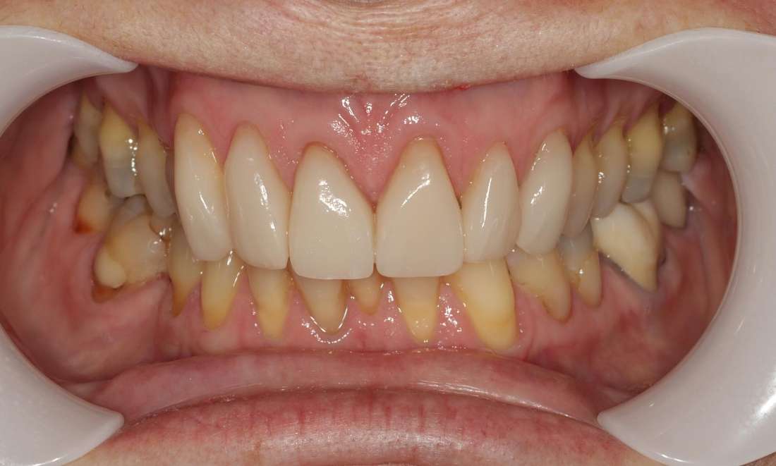
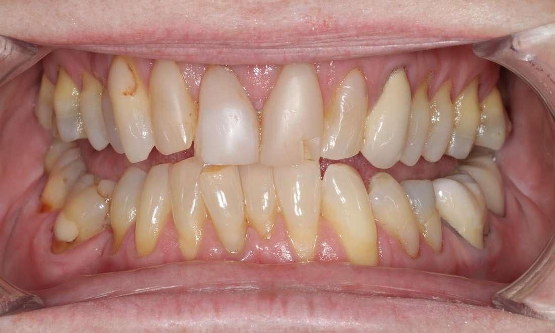
This patient came to us feeling self-conscious and unhappy with their smile. After a thorough consultation, we took the time to discuss their specific goals and developed a meticulous treatment plan tailored to meet their needs.

We opted for veneers to enhance their smile. Veneers are very thin shells of porcelain that cover the front surface of the teeth. The patient was involved throughout the entire process, from choosing the right shade to ensuring the shape and size of each veneer complemented their facial features. The final result was lovely, and the patient felt more comfortable showing off their smile.

Enhance Your Smile with Veneers in Tamworth, NSW

If you’re keen on transforming your smile with cosmetic dentistry, we welcome your call!

Related Services:

Cosmetic Dentistry

Service Performed By:

Dr Bryan Liew
Do You Have Any Questions for Us?
Any surgical or invasive procedure carries risks. Before proceeding, you should seek a second opinion from an appropriately qualified health practitioner.