Smile Gallery
We invite you to browse our before-and-after photos to discover the endless possibilities available with high-quality, tooth-coloured dentistry.
*The images shown in our Smile Gallery are examples of dental treatments provided at our practice. Individual results will vary depending on each patient’s dental needs and circumstances.
 
 
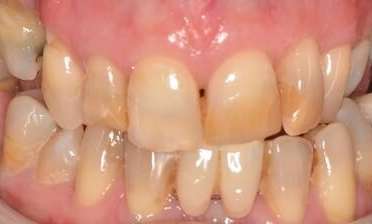
Restorative work using a combination of porcelain crowns and partial denture.
 
 
This patient came to us feeling self-conscious and unhappy with their smile. After a thorough consultation, we took the time to discuss their specific goals and developed a meticulous treatment plan tailored to meet their needs.
We opted for veneers to enhance their smile. Veneers are very thin shells of porcelain that cover the front surface of the teeth. The patient was involved throughout the entire process, from choosing the right shade to ensuring the shape and size of each veneer complemented their facial features. The final result was lovely, and the patient felt more comfortable showing off their smile.
Enhance Your ...
 
 
This patient came to us feeling dissatisfied with their smile and eager for a change. After listening to their desires and understanding their vision for a more attractive smile, we crafted a customised treatment plan to achieve those goals.
We decided porcelain veneers would be the ideal solution. Known for their natural, translucent look, porcelain veneers mimic the light-reflecting properties of real teeth, making them a popular choice for patients. With these veneers in place, the patient’s teeth looked brighter and more balanced. The patient was thrilled with the transformation!
Porcelain Veneers in Tamworth, NSW
We invite you to call us for more ...
 
 
This patient came to us wanting a more polished, attractive smile. After discussing their concerns about discoloured and uneven teeth, we recommended porcelain veneers as their solution. The treatment was straightforward and involved shaping the veneers to perfectly match the patient's teeth and facial structure. The result was a brighter, more even smile that looked completely natural. The patient was thrilled with how quickly we transformed their smile.
We Welcome Your Call
Keen to improve your smile? We welcome your call!
 
 
This patient came to us looking for a discreet way to straighten their teeth. After discussing their goals, we recommended Invisalign clear aligners as the best option. The patient appreciated the ability to remove the aligners for eating and brushing their teeth, which made daily life easier.
Over the course of treatment, their teeth gradually shifted into alignment, creating a beautifully straight smile without the need for wires or brackets. By the end, the patient was thrilled with their results (and their whiter teeth), and we couldn’t be happier for them!
Invisalign in Tamworth, NSW
If you have gapped or uneven teeth, Invisalign ...
 
 
This patient came to us with concerns about a damaged tooth affecting their smile and ability to chew and enjoy food. After discussing options, we recommended a porcelain dental crown for its durability and natural appearance. The patient was impressed by how closely the crown matched the colour and shape of their natural teeth. After a simple procedure, their tooth was fully restored, and the crown blended seamlessly with the rest of their smile.
We Offer Porcelain Crowns in Tamworth, NSW
Porcelain dental crowns are a long-lasting solution that can improve one’s smile and confidence. If you’re interested in restoring your smile, ...