Your smile is one of the first things that people notice about you. If you find yourself hiding your teeth or holding back your smile, we can help.
Our dentists at Oasis Smiles Dental will listen to what you love and what you would like to change about the appearance of your teeth. We offer the full range of cosmetic dentistry services in our North Tamworth dental clinic to give patients confident, radiant smiles they feel proud to show off.
Options to Achieve Your Dream Smile
Whether you have a single tooth throwing off your entire smile or you would like to change everything about your teeth, Dr Daniel Raditaolana and Dr Naledi Mosarwa will organise a treatment plan to achieve your goals.
Professional Teeth Whitening
One of the easiest and most affordable ways to improve the appearance of your teeth is with professional teeth whitening. Professional teeth whitening provides more reliable, uniform and dramatic results than any product purchased in salons or spas because dentists can offer professional-strength gel unavailable in retail settings.
We offer two alternatives – in-surgery whitening and take-home whitening. Many patients choose to give their smiles a boost in our dental clinic and then continue whitening their teeth at home.
Teeth Whitening in the Surgery
We place a protective covering over the gums and professional whitening gel on the teeth, which we will activate with a light. We can repeat the process up to three times in a one-hour appointment, and you will leave the surgery with a much brighter smile.
Teeth Whitening At Home
After taking impressions of the teeth and creating moulds, our team will create customised teeth whitening trays for you to use at home. You can reserve your trays to touch up your teeth periodically if new stains develop.
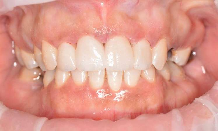
Tooth-Coloured Restorations
Dental restorations with metal components can leave a dark mark on your smile. Our dentists use natural-looking tooth-coloured restorations so that your dentistry does not impact your appearance.
- White fillings
- Ceramic crowns
- Ceramic bridges
- Tooth-coloured bonding
Modern tooth-coloured restorations provide durability and longevity that our patients appreciate.
Orthodontics and Invisalign Clear Braces
A straight smile is beautiful and often healthier. As part of our comprehensive approach to dentistry, we offer both traditional braces and Invisalign clear braces for patients who want to close gaps between teeth, solve overcrowding or overlapping teeth or just want a perfectly straight smile to show off. We offer orthodontic evaluations for children, teens and adults. It is never too late for a straight, lovely smile.
Ceramic Veneers
Ceramic (porcelain) veneers provide a way to completely alter the appearance of a single tooth or multiple teeth. Veneers are thin, tooth-coloured restorations that completely cover the front of the tooth, leaving the back of the tooth structure intact.
Veneers offer an aesthetic solution with a single treatment to fix a number of issues.
- Gaps between teeth
- Short or worn teeth
- Chipped and damaged teeth
- Discolouration
- Misalignment
- Reshaping
- Complete smile makeovers
Ceramic veneers require detailed planning to ensure that your new smile will fit and function properly in addition to improving the look of your teeth. We invite you to get in touch with Oasis Smiles Dental to arrange a cosmetic dentistry consultation to learn if teeth veneers are right for you.