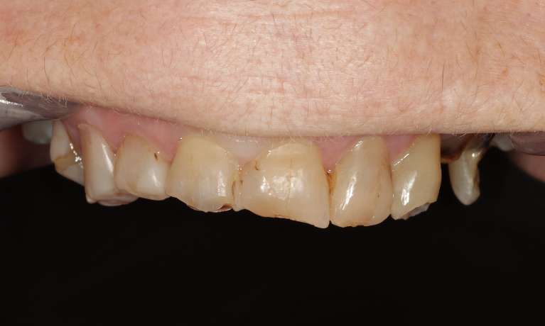
Having broken and missing teeth creates a number of problems when it comes to day-to-day life. Chewing, speaking and smiling suddenly become an issue – not to mention the pain of having a damaged smile.
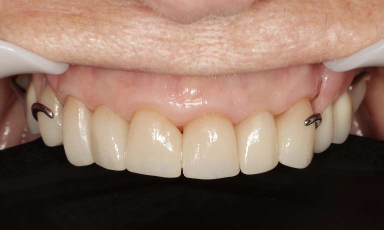
Our dentists are committed to helping patients regain their smiles with durable and reliable tooth-coloured dentistry. Dental crowns repair damaged teeth and dental bridges replace missing teeth. Both are common procedures we perform to help patients feel comfortable and get their smiles back.
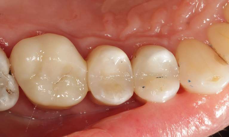
Dental Crowns to Protect Damaged Teeth
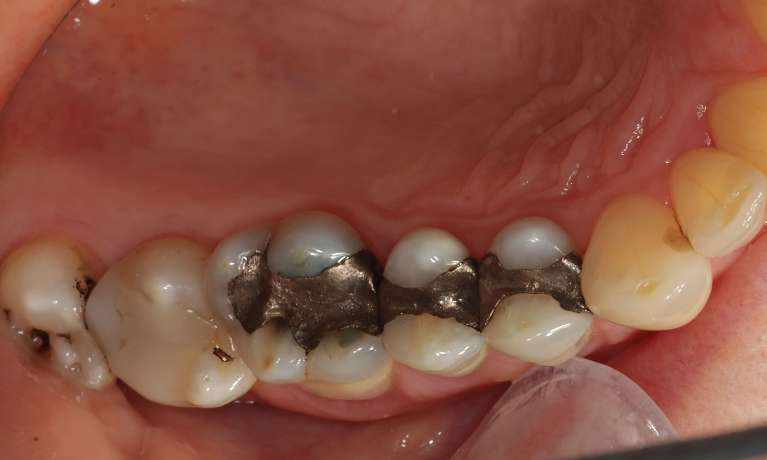
When teeth are broken, worn or have developed deep decay, protecting them with a dental crown can restore comfort and function. Dental crowns, sometimes called a cap, completely covers the tooth, offering more protection than a filling, bonding, onlays or inlays.
When possible, our dentists, Dr Daniel Raditaolana and Dr Naledi Mosarwa recommend tooth-coloured crowns whenever possible to protect the appearance of the smile while restoring tooth function.
We will often recommend a dental crown after root canal treatment for improved longevity. We offer same-day dental crowns in our North Tamworth dental clinic for patient convenience. Rather than waiting several weeks or more for a laboratory to create a dental crown, we complete the entire process in a single visit.
We always prioritise patient comfort by numbing the tooth before we begin. The initial dental crown procedure takes about an hour and involves removing any damaged tooth structure or decay to make space for the crown to fit directly over the tooth. We will digitally scan the tooth and upload the information into our CAD/CAM software for use by our in-house ceramic mill.
Once the crown is milled, our dentists place the final shading and glaze for a remarkably natural-looking result.
Dental Bridges to Replace a Missing Tooth
A dental bridge fills the space in the smile left after a tooth is extracted. Dental bridge procedures are similar to dental crown procedures because two specialty crowns are required to hold an artificial tooth in place.
Dental bridges can replace one or more missing teeth and offer an alternative for patients who are not good candidates for dental implants or who prefer them as an alternative.
Replacing your missing tooth will keep the surrounding teeth from tilting toward the gap in your smile and can potentially preserve your bite.
Do You Have Many Missing Teeth?
For patients who have many missing teeth or who are facing full-mouth extractions, we offer implant-supported bridges and implant-supported dentures to help you regain your smile and enjoy a variety of your favourite foods.
We Look Forward to Welcoming You
If you have broken or missing teeth, we invite you to get in touch with Oasis Smiles Dental. Our patient-focused team will help you find a solution that will work best for you and help you feel great about your smile.