Oasis Smiles Dental

Cosmetic Dentistry - Three Porcelain Crowns

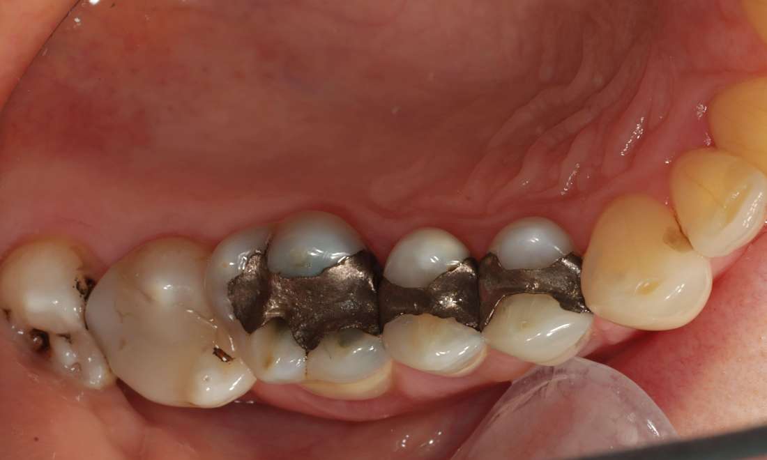
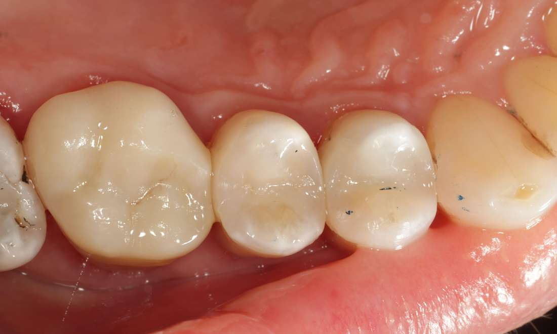
This patient came to us with concerns about a damaged tooth affecting their smile and ability to chew and enjoy food. After discussing options, we recommended a porcelain dental crown for its durability and natural appearance. The patient was impressed by how closely the crown matched the colour and shape of their natural teeth. After a simple procedure, their tooth was fully restored, and the crown blended seamlessly with the rest of their smile.

We Offer Porcelain Crowns in Tamworth, NSW

Porcelain dental crowns are a long-lasting solution that can improve one’s smile and confidence. If you’re interested in restoring your smile, we invite you to call us for a consultation. 

Improve your smile today – call to schedule a consultation!
Any surgical or invasive procedure carries risks. Before proceeding, you should seek a second opinion from an appropriately qualified health practitioner.